जीका के खतरे से निपटने में नहीं छोडेंगे कोई कसर : दील्मा रौसेफ
Published by : Prabhat Khabar Digital Desk Updated At : 03 Feb 2016 10:04 AM
साओपाउलो : ब्राजील की राष्ट्रपति ने चिंतित देश से वादा किया है कि जीका वायरस के खतरे से निपटने में कोई कसर नहीं छोडी जाएगी. विश्व स्वास्थ्य संगठन द्वारा मच्छर जनित इस वायरस से फैल रही बीमारी को अंतरराष्ट्रीय इमर्जेन्सी घोषित किये जाने के एक दिन बाद कांग्रेस को संबोधित कर रहीं ब्राजील की राष्ट्रपति […]
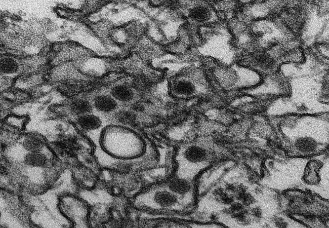
साओपाउलो : ब्राजील की राष्ट्रपति ने चिंतित देश से वादा किया है कि जीका वायरस के खतरे से निपटने में कोई कसर नहीं छोडी जाएगी. विश्व स्वास्थ्य संगठन द्वारा मच्छर जनित इस वायरस से फैल रही बीमारी को अंतरराष्ट्रीय इमर्जेन्सी घोषित किये जाने के एक दिन बाद कांग्रेस को संबोधित कर रहीं ब्राजील की राष्ट्रपति दील्मा रौसेफ ने कहा ‘हमें माइक्रोसिफैली के बारे में चिंता होनी चाहिए.’ जीका वायरस के खतरे से निपटने में कोई कसर न छोडने का वादा करते हुए दील्मा ने कांग्रेस से आह्वान किया कि वह इस वायरस के खिलाफ अभियान में उनका साथ दे.
ब्राजील में गर्भवती माताओं को जीका वायरस का संक्रमण होने की वजह से उनके बच्चों के मस्तिष्क में विकृति आ गयी है और उनके सिर असामान्य रूप से छोटे भी हैं. अक्तूबर के बाद से ब्राजील में माइक्रोसिफैली के कई मामलों की खबर है. बहरहाल अनुसंधानकर्ता अब तक इसका वायरस से निश्चित संबंध साबित नहीं कर पाए हैं. जीका के लिए फिलहाल कोई टीका या दवा नहीं है. ब्राजील में अगस्त से रियो डी जेनेरियो में ओलंपिक खेलों की शुरुआत होनी है. जिन जल निकायों में प्रतियोगिताएं होनी हैं वहां बैक्टीरिया और वायरस का स्तर उच्च होने की खबरों के बाद खिलाडियों की सुरक्षा को लेकर सवाल उठने लगे हैं.
ओलंपिक समिति के कल हुए संवाददाता सम्मेलन में जीका वायरस ही मुख्य विषय था. स्वास्थ्य अधिकारियों ने इस बारे में पूछे गए सवालों को लेकर चिंताएं दूर करने की कोशिश की. आयोजकों के चिकित्सा निदेशक डॉ जोआओ ग्रैन्जीरो ने कहा कि खिलाडियों को कोई खतरा नहीं है क्योंकि ब्राजील की सर्दियों के दौरान अगस्त में मच्छरों की संख्या घटने लगेगी. रियो के स्वास्थ्य सचिव डेनियल सोरांज ने संवाददाताओं को बताया कि ओलंपिक पार्क के आसपास पाये गये मच्छर वह नहीं हैं जो जीका के वाहक होते हैं.
बहरहाल, रियो आयोजन समिति के प्रवक्ता मारियो एन्ड्राडा इस सवाल का जवाब नहीं दे पाए कि आयोजक मच्छर उन्मूलन के प्रयासों के लिए कोष कहां से देंगे क्योंकि वह पहले ही अन्य क्षेत्रों में कटौती कर रहे हैं. मारियो ने कहा ‘महत्वपूर्ण बात संक्रमित लोगों की देखभाल करना और नए संक्रमणों को रोकना है. हमारे पास बजट का होना या न होना चिंता की बात नहीं है.’
प्रभात खबर डिजिटल टॉप स्टोरी
लेखक के बारे में
By Prabhat Khabar Digital Desk
यह प्रभात खबर का डिजिटल न्यूज डेस्क है। इसमें प्रभात खबर के डिजिटल टीम के साथियों की रूटीन खबरें प्रकाशित होती हैं।
Prabhat Khabar App :
देश, एजुकेशन, मनोरंजन, बिजनेस अपडेट, धर्म, क्रिकेट, राशिफल की ताजा खबरें पढ़ें यहां. रोजाना की ब्रेकिंग हिंदी न्यूज और लाइव न्यूज कवरेज के लिए डाउनलोड करिए










