Corona outbreak india : कोरोना वायरस से संक्रमित फेफड़ों की 3D इमेज आयी सामने, देखें तस्वीरें

कोरोना वायरस के बढ़ते प्रकोप को देखते हुए है दुनिया भर के वैज्ञानिक और मेडिकल प्रोफेशनल यह रिसर्च करने में लगे थे कि यह कैसे फैलता है और शरीर को कैसे प्रभावित करता है. वहीं इस दिशा में मेडिकल प्रोफेशनल को संक्रमित मरीजों के फेफड़ों की 3D इमेज बनाने और उसकी अंदर की स्थिति को समझने की सफलता हाथ लगी हैं.
नयी दिल्ली : कोरोना वायरस के बढ़ते प्रकोप को देखते हुए है दुनिया भर के वैज्ञानिक और मेडिकल प्रोफेशनल यह रिसर्च करने में लगे थे कि यह कैसे फैलता है और शरीर को कैसे प्रभावित करता है. वहीं इस दिशा में मेडिकल प्रोफेशनल को संक्रमित मरीजों के फेफड़ों की 3D इमेज बनाने और उसकी अंदर की स्थिति को समझने की सफलता हाथ लगी हैं. चीन में वैज्ञानिकों ने कोरोनावायरस से मारे गए लोगों के पोस्टमॉर्टम से उनके फेफड़ों की स्थिति की 3D इमेज बनायी है.
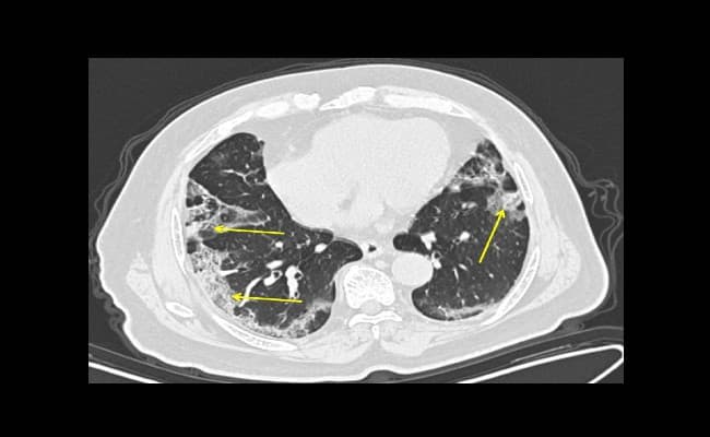
रेडियोलॉजिकल सोसाइटी ऑफ नार्थ अमेरिका (RSNA) ने एक तस्वीर जारी की है.जिसमें फेफड़ों के सीटी स्कैन और एक्स-रे से यह सामने आया है कि संक्रमित मरीजों के फेफड़े चिकने और गाढ़ी बलगम से भर जाता है. इस कारण संक्रमित व्यक्ति की सांस घुटने लगती है क्योकि फेफड़ों में हवा के जाने के लिए कोई जगह नहीं बचती.
This 3D video from @RSNA shows what are called ground-glass opacities in the lungs of a #COVID-19 patient. These opacities on the CT scan indicate pneumonia as the spaces which are normally filled by air are being filled with something else.
— Sky News Tech (@SkyNewsTech) March 12, 2020
Read more: https://t.co/whj7XQVITe pic.twitter.com/SQdoervbNO
कोरोनावायरस से संक्रमित मरीजों के सीटी स्कैन से उनके फेफड़ों में सफेद धब्बों का पता चला है. जिसे रेडियोलॉजिस्टों ने अपनी भाषा में ग्राउड-ग्लास ओपेसिटी कहा है. क्योंकि वे स्कैन की गयी 3D तस्वीरों में खिड़कियों में लगे धब्बों जैसे दिखायी देते है. संक्रमित मरीजों के फेफड़ो के सीटी स्कैन से ऐसे लक्षण नजर आए है जो निमोनिया के होते है. लेकिन कोरोना के केस में ये कुछ ज्यादा ही गाढ़े है और फेफड़ो में हवा की जगह कुछ ओर ही भरा हुआ नजर आया

इस 3D इमेज से दुनियाभर के डाक्टर एक्स-रे और सीटी स्कैन से कोरोना से संक्रमित मरीजों की जल्दी पहचान कर पाएंगे जो गंभीर रूप से संक्रमित है और उन्हें तुरंत आइसोलेट करने में आसानी होगी . चीन के वुहान शहर से फैला कोरोना वायरस अब तक 125 से ज्यादा देशों को अपनी चपेट में ले चुका है. वहीं दुनियाभर में 4660 से ज्यादा लोग मारे गए है और 1 लाख 26 हजार से ज्यादा लोग संक्रमित है.
प्रभात खबर डिजिटल प्रीमियम स्टोरी
Prabhat Khabar App :
देश, एजुकेशन, मनोरंजन, बिजनेस अपडेट, धर्म, क्रिकेट, राशिफल की ताजा खबरें पढ़ें यहां. रोजाना की ब्रेकिंग हिंदी न्यूज और लाइव न्यूज कवरेज के लिए डाउनलोड करिए




