World Heart Day 2023 : हार्ट की हालत का पता लगाने में मदद करते हैं ये मेडिकल टेस्ट
Published by : Meenakshi Rai Updated At : 28 Sep 2023 1:19 PM
World Heart Day 2023 : आज की लाइफस्टाइल में जहां सबकुछ भागमभाग से भरा है. वहां सेहत कई बार पीछे छूट जाती है. जिस कारण कई हेल्थ प्रॉब्लम्स भी खड़े होते हैं उनमें हृदय रोग हम सभी के लिए प्रमुख चिंताओं में से एक है. सिर्फ भारत ही नहीं बल्कि दुनिया भर में यह मौत का प्रमुख कारण है.

World Heart Day 2023 : हर साल 29 सितंबर को वर्ल्ड हार्ट डे मनाया जाता है. WHO की एक रिपोर्ट के अनुसार, दुनिया भर में हार्ट अटैक से होने वाली 17.9 मिलियन मौतों में से लगभग पांचवां हिस्सा भारत में होता है. हालांकि, जल्दी पता लगने से इसे कम करने में मदद मिल सकती है. सही वक्त पर निदान और हस्तक्षेप हृदय स्वास्थ्य स्थितियों से सफलतापूर्वक निपटने में मदद कर सकता है. यदि उपचार न किया जाए, तो कई हृदय रोग बड़े परिणामों का कारण बन सकते हैं जैसे कि दिल का दौरा, दिल की विफलता, या यहां तक कि अचानक कार्डियक अरेस्ट. शुरूआती स्टेज में हृदय की स्थिति का निदान करने के लिए कई चिकित्सा परीक्षण हैं जो हृदय की समस्याओं का पता लगाने में मदद कर सकते हैं.

इलेक्ट्रोकार्डियोग्राम (ईसीजी): ईसीजी एक निश्चित अवधि में हृदय की विद्युत गतिविधि को रिकॉर्ड करने में मदद करता है. यह हृदय रोग का परीक्षण करने के लिए उपयोग किए जाने वाले महत्वपूर्ण उपकरणों में से एक है. ईसीजी मशीन हृदय के विद्युत संकेतों को रिकॉर्ड करती है, जो रिपोर्ट में तरंगों के रूप में प्रसारित होते हैं.

व्यायाम तनाव परीक्षण/ट्रेडमिल परीक्षण : यह एक परीक्षण प्रक्रिया है जसमें मूल्यांकन इस आधार पर किया जाता है कि हृदय शारीरिक व्यायाम या तनाव पर कैसे प्रतिक्रिया करता है. यह किसी व्यक्ति की फिटनेस के स्तर के बारे में महत्वपूर्ण विवरण देता है और क्या उन्हें कड़ी मेहनत करने पर सीने में परेशानी या सांस लेने में तकलीफ जैसे लक्षणों का सामना करना पड़ता है.

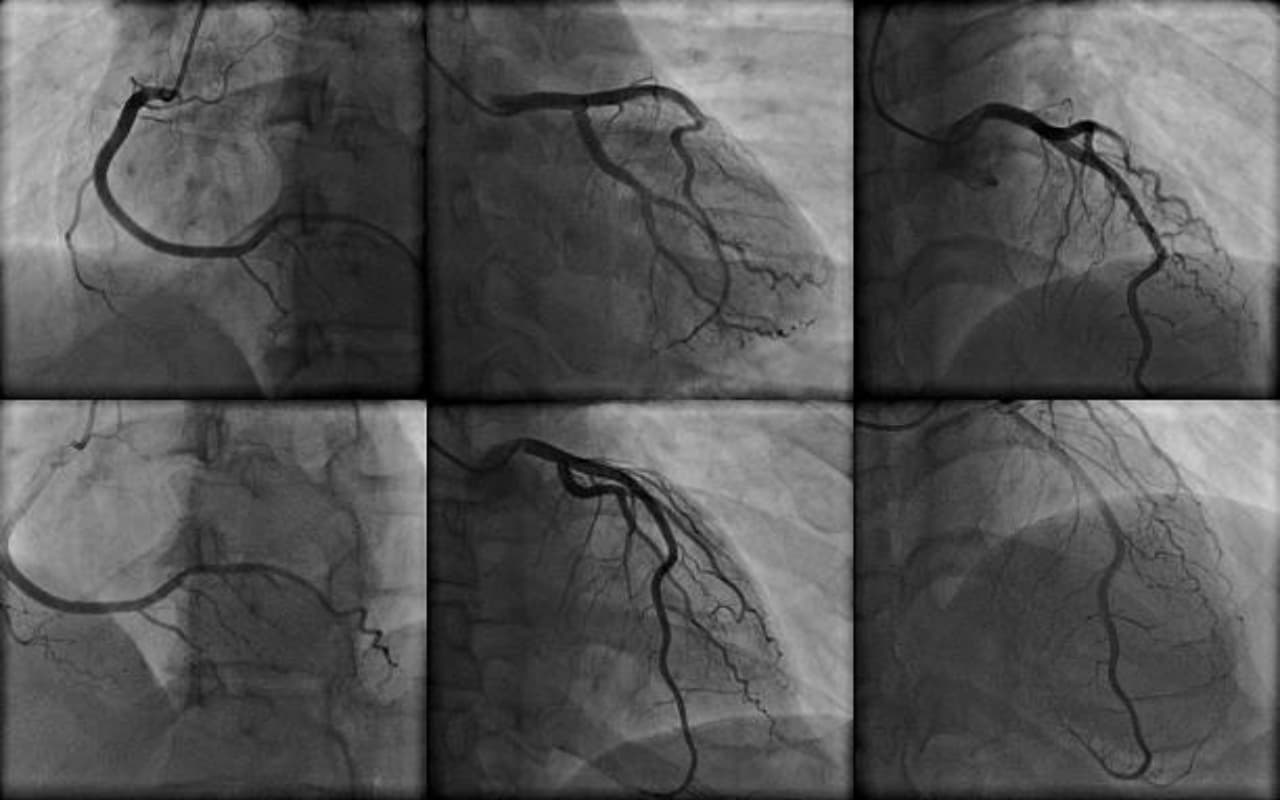
कोरोनरी एंजियोग्राफी : कोरोनरी एंजियोग्राफी का उपयोग कोरोनरी धमनियों में रुकावटों, संकुचन या अन्य समस्याओं का पता लगाने और हृदय की मांसपेशियों में रक्त के प्रवाह की जांच करने के लिए किया जाता है। यह कार्डियोलॉजी में एक महत्वपूर्ण निदान उपकरण है और डॉक्टरों को यह तय करने में मदद करता है कि किस उपचार विकल्प का उपयोग करना है।

कार्डियक मैग्नेटिक रेज़ोनेंस इमेजिंग (एमआरआई) : हृदय की संरचना और संचालन को देखने के लिए उपयोग की जाने वाली एक इमेजिंग तकनीक यह हृदय और आसपास की रक्त वाहिकाओं की विस्तृत तस्वीरें देती है और मूल्यांकन करती है कि हृदय कितने प्रभावी ढंग से रक्त पंप कर रहा है.
Also Read: HEALTH STUDY : अधिकांश भारतीय 3 ग्राम अधिक ले रहे नमक, सेहत चाहिए तो बदलिए ऊपर से नमक लेने की आदत
इकोकार्डियोग्राम : एक न्यूनतम आक्रामक अल्ट्रासाउंड परीक्षण जो हृदय की विस्तृत तस्वीरें प्रदान करने के लिए ध्वनि तरंगों का उपयोग करता है इसका उपयोग समय के साथ दिल की समस्याओं के विकास को ट्रैक करने के लिए किया जाता है और अक्सर दिल के ऑपरेशन और प्रक्रियाओं के लिए प्री-ऑपरेटिव योजना के दौरान किया जाता है.

ये चिकित्सा परीक्षण हृदय स्थितियों के उपचार और समग्र कल्याण में महत्वपूर्ण भूमिका निभाते हैं क्योंकि वे हृदय रोगों की शीघ्र पहचान, निदान और प्रबंधन में मदद करते हैं. हृदय रोग के शुरुआती लक्षणों को पहचानना और जल्द से जल्द डॉक्टर से परामर्श लेना भी महत्वपूर्ण है.
Also Read: Health Care : क्या आप डाइजेस्टिव बिस्किट खा रहे हैं ? जानिए इसका पोषण प्रोफ़ाइलप्रभात खबर डिजिटल टॉप स्टोरी
Prabhat Khabar App :
देश, एजुकेशन, मनोरंजन, बिजनेस अपडेट, धर्म, क्रिकेट, राशिफल की ताजा खबरें पढ़ें यहां. रोजाना की ब्रेकिंग हिंदी न्यूज और लाइव न्यूज कवरेज के लिए डाउनलोड करिए










