Expert Opinion: मस्तिष्क के गंभीर चोट यानी ट्रॉमैटिक ब्रेन इंज्यूरी के इलाज में महत्वपूर्ण है न्यूरोसर्जरी

HEALTH CARE : दिमाग को चोट पहुंचने का मतलब है शरीर के अन्य हिस्सों का प्रभावित होना. चिंता की बात है कि हर साल कई लाख लोग सिर पर गंभीर चोट लगने यानी ट्रॉमैटिक ब्रेन इंज्यूरी के शिकार होते हैं उनमें कई लोगों की तो मौत हो जाती है. एक्सपर्ट की माने तो इसके इलाज में न्यूरोसर्जरी बहुत महत्वपूर्ण है.
Expert Opinion : दिमाग के चोट को हल्के में लेना जानलेवा साबित हो सकता है. ट्रॉमैटिक ब्रेन इंज्यूरी यानी मस्तिष्क के गंभीर चोट की वजह से होने वाली मौत और विकलांगता भारत के स्वास्थ्य जगत में गंभीर चिंता का कारण बनी हुई है. भारतीय स्वास्थ्य मंत्रालय के ताजा आंकड़ों से पता चलता है कि देश में ट्रॉमैटिक ब्रेन इंज्यूरी से होने वाली मौत की संख्या कुल मौत की संख्या का 10 प्रतिशत है. यह आंकड़ें ना सिर्फ गंभीर चिंता का कारण हैं, बल्कि अविलंब इसपर ध्यान देने की जरूरत है. परेशान करने वाली बात यह है कि ट्रॉमैटिक ब्रेन इंज्यूरी के दौरान इलाज में देरी की वजह से मौत की संख्या काफी बढ़ रही है, जबकि इंज्यूरी के बाद मरीज को तत्काल मेडिकल सहायता की जरूरत होती है.

मैक्स सुपर स्पेशलिटी अस्पताल, वैशाली में न्यूरोसर्जरी के वरिष्ठ निदेशक डॉ मनीष वैश्य ने मस्तिष्क के गंभीर चोट में इलाज की देरी पर चिंता जताते हुए कहा कि गंभीर चोट के मामले में समय बहुत महत्वपूर्ण है. मस्तिष्क पर चोट के मामलों में हर मिनट मायने रखता है. अगर समय पर मरीज को इलाज मुहैया नहीं कराया गया तो परिणाम खतरनाक और जानलेवा हो सकते हैं. इसलिए यह जरूरी है कि मस्तिषक के चोट में अविलंब चिकित्सा सहायता ली जाए चाहे, चोट कितना भी मामूली क्यों ना हो.

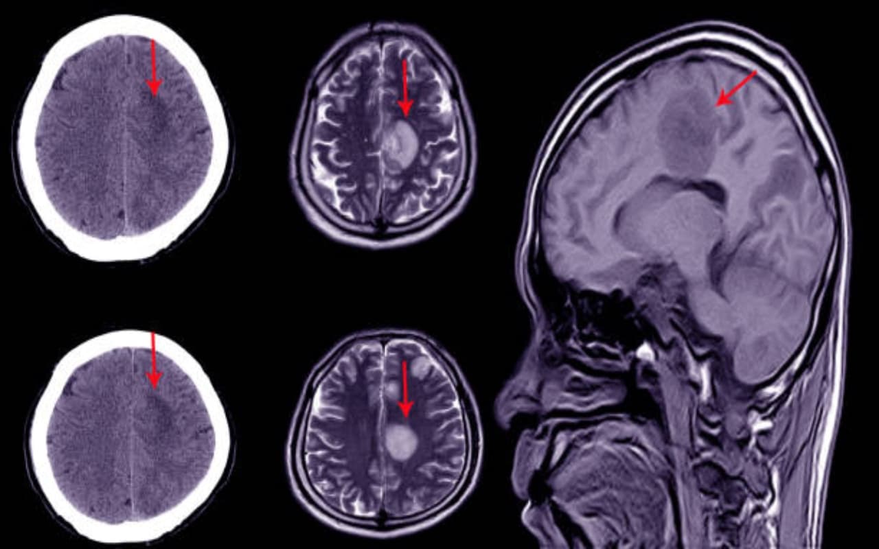
भारतीय स्वास्थ्य मंत्रालय के आंकड़ों के अनुसार भारत में विकलांगता और मृत्यु दर का एक प्रमुख कारण ट्रॉमैटिक ब्रेन इंज्यूरी है. आंकड़ें इसलिए डराने वाले हैं क्योंकि ये बताते हैं कि भारत में हर साल 10 लाख से अधिक लोग कारण ट्रॉमैटिक ब्रेन इंज्यूरी से पीड़ित होते हैं, जिसकी वजह से हर साल लगभग एक लाख मौतें होती हैं. ब्रेन एंड स्पाइन पीपीएल, नई दिल्ली के वरिष्ठ सलाहकार डॉ यशपाल सिंह बुंदेला ने ट्रॉमैटिक ब्रेन इंज्यूरी के बारे में बात करते हुए कहा कि निश्चित तौर पर यह समस्या भारत में बहुत बड़ी हो गई है. लेकिन यहां ध्यान देने वाली बात यह भी है कि मस्तिष्क के गंभीर चोट के मामलों में चिकित्सा सुविधा उपलब्ध हो सकती है. अगर मरीज को समय पर न्यूरोसर्जरी की सुविधा मिल जाए तो रोगी को बचाया जा सकता है और कई मामलों में परिणाम काफी हद तक सकारात्मक हो सकते हैं. न्यूरीसर्जरी के जरिए मस्तिष्क के भीतर रक्तस्राव या चोट का इलाज संभव है और यह उस परिस्थिति की आवश्यकता भी है. ऐसे मामलों के लिए भारत में उपयोग की जाने वाली स्थापित सर्जिकल प्रक्रियाओं में से एक – डीकंप्रेसिव क्रैनिएक्टोमी (डीसी) है. इस प्रक्रिया में इंट्राक्रैनील दबाव को कम करने और गंभीर चोट की स्थिति में खोपड़ी के क्षतिग्रस्त हिस्से को सावधानीपूर्वक निकालना है ताकि चोट को और गंभीर होने से रोका जा सके.

डॉ वैश्य ने मस्तिष्क के गंभीर चोट के इलाज में डिकंप्रेसिव क्रैनिएक्टोमी को सबसे बेहतरीन तरीका बताया है. उन्होंने कहा कि ट्रॉमैटिक ब्रेन इंज्यूरी के इलाज में यह न्यूरोसर्जरी के शस्त्रागार का सबसे शक्तिशाली उपकरण है. इंट्राक्रैनियल दबाव को कम करके हम चोट को अन्य गंभीर चोट में बदलने से रोक सकते हैं.इसका सकारात्मक परिणाम यह होता है कि हम रोगी को जीवित रख सकते हैं और उसके स्वस्थ होने की संभावना भी बढ़ जाती है.हालांकि, इस प्रक्रिया की सफलता काफी हद तक है सही समय पर इलाज मुहैया कराने पर निर्भर है.
ट्रॉमैटिक ब्रेन इंज्यूरी के मामलों में जीवन बचाने के लिए जानकारी बहुत महत्वपूर्ण है. सही जानकारी प्रदान करने से किसी व्यक्ति के सिर की चोट की स्थिति की जानकारी मिल पाती है और त्वरित कार्रवाई करने में मदद मिल सकती है. गंभीर परिस्थितियों में हर पल मायने रखता है इसलिए त्वरित कार्रवाई यानी परिस्थिति अनुसार इलाज जीवनरक्षक साबित हो सकता है.

ट्रॉमैटिक ब्रेन इंज्यूरी एक राष्ट्रीय संकट है जो सामूहिक कार्रवाई की मांग करता है. चिकित्सा पेशेवरों, संस्थानों और जागरूक नागरिकों के संयुक्त प्रयासों से गंभीर मस्तिष्क चोटों का इलाज संभव है.
याद रखें, सिर पर चोट लगने की स्थिति में तुरंत चिकित्सा सहायता लें.
संकोच न करें- शीघ्र उपचार एक जीवन रक्षक उपाय हो सकता है.
मस्तिष्क के चोट के इलाज के लिए साथ मिलकर एक महत्वपूर्ण बदलाव लाया सकता हैं.
ट्रॉमैटिक ब्रेन इंज्यूरी से निपटने में समझदारी और समय पर चिकित्सा सुविधा उपलब्ध कराना बहुत जरूरी है.
प्रभात खबर डिजिटल टॉप स्टोरी
लेखक के बारे में
By Prabhat Khabar Digital Desk
यह प्रभात खबर का डिजिटल न्यूज डेस्क है। इसमें प्रभात खबर के डिजिटल टीम के साथियों की रूटीन खबरें प्रकाशित होती हैं।
Prabhat Khabar App :
देश, एजुकेशन, मनोरंजन, बिजनेस अपडेट, धर्म, क्रिकेट, राशिफल की ताजा खबरें पढ़ें यहां. रोजाना की ब्रेकिंग हिंदी न्यूज और लाइव न्यूज कवरेज के लिए डाउनलोड करिए




