गुरुआ के गुडरू गांव में पिता-पुत्र में मिले माइक्रोपरजीवी
गुरुआ के गुडरू गांव में पिता-पुत्र में मिले माइक्रोपरजीवी
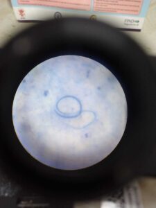
रक्त के नमूने की जांच में फाइलेरिया के परजीवी की पुष्टि वरीय संवाददाता, गया जी. जिले में नाइट ब्लड सर्वे के तहत रक्त के नमूने लिये जा रहे हैं. रक्त के नमूनों की जांच भी की जा रही है. रात में रक्त के नमूने लेकर उसकी जांच करने से फाइलेरिया के माइक्रोपरजीवी की पहचान होने में आसानी हो रही है. माइक्रोस्कोपिक जांच में फाइलेरिया के परजीवी साफ दिख जाते हैं. रात में फाइलेरिया के परजीवी अधिक सक्रिय होते हैं और खून की जांच में इसकी पहचान आसानी से हो जाती है. जिला वेक्टर जनित रोग नियंत्रण पदाधिकारी डॉ एमइ हक ने बताया कि गुरारू प्रखंड के गुडरू गांव में बनायी गयी सेशन साइट पर एक ही परिवार के दो सदस्यों के रक्त के नमूने की जांच में फाइलेरिया के परजीवी होने की पुष्टि की गयी है. इनमें पिता और पुत्र शामिल हैं. पिता की उम्र साठ साल और बेटे की उम्र 20 साल है. इस परिवार के सदस्यों के अलावा दूसरे सदस्यों की भी मॉनिटरिंग की जायेगी. फाइलेरिया से बचाव के लिए परिवार को आवश्यक दवा भी दी जायेगी. उन्होंने बताया कि सर्वजन दवा सेवन अभियान के दौरान ऐसे लोगों को दवा सेवन आवश्यक रूप से करना चाहिए. अपने परिवार के सदस्यों सहित आसपास पड़ोस के लोगों को दवा सेवन कराने में अपनी महत्वपूर्ण भूमिका अदा करनी चाहिए. फाइलेरिया के माइक्रोपरजीवी की मौजूदगी के कारण हाथीपांव या हाइड्रोसील होने की संभावना की भी जांच की जायेगी. डॉ हक ने कहा कि रक्त के नमूनों को तकनीकी तौर पर स्टैनिंग कर राज्य स्तरीय जांच घर भेजा जायेगा, जहां पर इसकी जांच होगी. रक्त के नमूनों की जांच कर माइक्रोफाइलेरिया परजीवी से ग्रसित लोगों की पहचान करने में सुविधा होगी. साथ ही फाइलेरिया पीड़ित मरीजों के इलाज में सहायता दी जायेगी.
डिस्क्लेमर: यह प्रभात खबर समाचार पत्र की ऑटोमेटेड न्यूज फीड है. इसे प्रभात खबर डॉट कॉम की टीम ने संपादित नहीं किया है
