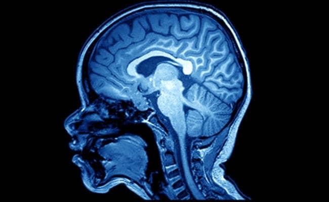
वाशिंगटन : वैज्ञानिकों का कहना है कि मस्तिष्क का ऐसा स्कैन जो यह दिखाता है कि मस्तिष्क के क्षेत्र किस प्रकार परस्पर प्रभाव डालते हैं इससे माइग्रेन , तनाव , बायपोलर विकार सहित मस्तिष्क से संबंधित कई अन्य बीमारियों का पता लगाने में मदद मिल सकती है.
‘न्यूरॉन’ जर्नल में प्रकाशित एक अध्ययन के अनुसार फंक्शनल कनेक्टिविट एमआरआई ( एफसीएमआरआई ) नाम का स्कैन किसी व्यक्ति का मस्तिष्क किस प्रकार से बंधा है इसमें आसानी से मूल अंतर का पता लगाने में सक्षम है. यह एमआरआई विश्वसनीय है.
स्वस्थ व्यक्ति और मस्तिष्क की बीमारियों से ग्रसित व्यक्ति के बीच अंतर पता करने की क्षमता भी इस तकनीक के पास है. वाशिंगटन यूनिवर्सिटी स्कूल ऑफ मेडिसिन की प्रोफेसर स्टीवन पीटरसेन ने बताया , ‘ यह फंक्शनल क्नेक्टिविटी एमआरआई के महत्व बताने की तरफ बढ़ाया गया कदम है.’
पीटरसेन ने बताया , “इससे पहले कि हम एफसीएमआरआई के आधार पर बीमारी का इलाज शुरू करें , हमे यह पता होना चाहिए कि यह वास्तव में क्या माप रहा है. हम यहां दिखाते हैं कि यह वह नहीं माप रहा है जो आप सोच रहे हैं बल्कि यह इस बात की माप कर रहा है कि आपका मस्तिष्क कैसे बना हुआ है. इस बात ने क्लिनिकल जांच के नए दरवाजे खोल दिए हैं.”
